VOICI UNE GALERIE D'IMAGES D'EMBRYONS, POUR LA PLUPART IN VIVO

Les embryons sont rangés dans un ordre d'âge croissant

Embryon de poulet au stade blastula (galette de cellules, vers 1 jour1/2 de développement), 100minutes de descente du noeud de Hensen (sorte de singularité où se ferme le sillon central), la plaque latérale commence à s'applatir le long du corps : tracking du tourbillon sur les futures hanches. La formation d'un embryon est un enroulement massif de tissus, consécutif au cisaillement exercé le long du dos par les plis qui se ferment.
Embryon de poulet au stade blastula, 3h de descente du noeud de Hensen, la plaque latérale commence à s'applatir le long du corps.
Embryon de poulet au stade repliement des crêtes neurales (pas encore de pli céphalique) vue dorsale.
Embryon de poulet au stade de repliement des crêtes neurales, juste avant la fermeture des plis.
Embryon de poulet au stade début de coalescence des crêtes neurales, on voit le tout début du pli céphalique (deux plis parallèles en haut à droite), et le début du pli cardiaque du côté ventral (un arc plié, en bas). La formation de la tête et du coeur sont liés.
Embryon de poulet au stade début de coalescence des crêtes neurales, on voit le début du pli céphalique, et le début du pli cardiaque.
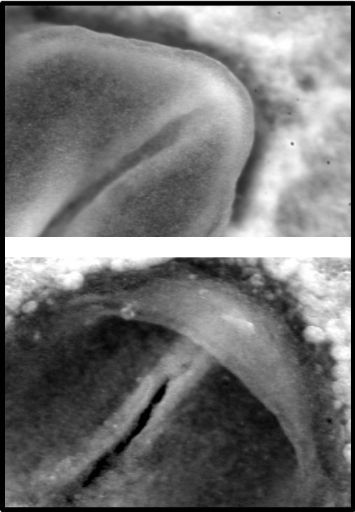
Embryon de poulet au stade début de formation du pli neural (la tête, quoi). Face dorsale et face ventrale. Sur la face ventrale, on voit l'arc plié formant le territoire cardiaque.
Comparaison, en haut, embryon juste avant la complétion de la fermeture de la crête neurale. En bas, embryon juste après la complétion de la fermeture de la crête neurale. On distingue les rudiments de tête et l'évagination de la zone oculaire.
Suite des images d'embryons Voir les images Retour à la page de présentation-Back to front page
La citation de la page : "Le devoir d'un homme seul est d'être encore plus seul", Emil Cioran (in, Le crépuscule des pensées).